AI技術を活用し、診察時の胸部単純X線画像診断を支援
胸部単純X線検査は、肺がん・肺炎・結核・気胸などの診断において最も一般的に行われる検査です。これらの疾患は進行が速いため、早期発見と治療開始が極めて重要です。がんの死亡統計を見ても、肺がんは男性で第1位、女性で第2位となっており、総死亡数では最も多いがんとなっています。胸部X線画像病変検出ソフトウェア「CXR-AID」は、撮影した胸部単純X線画像をAI技術により自動解析し、結節・腫瘤影、浸潤影、気胸が疑われる領域を検出・マーキングします。医師がその領域を再確認することで、読影時の見落とし防止を支援します。当院では2025年2月より、富士フイルムメディカル株式会社の「CXR-AID」を導入しました。医療AI技術を積極的に取り入れることで、患者様により質の高い画像診断を提供できる体制を整えています。
病変検出機能
AIの検出対象は主要な肺疾患の画像所見である「結節」・「腫瘤影」、「浸潤影」、「気胸」の3種類です。主な肺疾患の診断につながる異常であり、早期発見が重要な所見です。



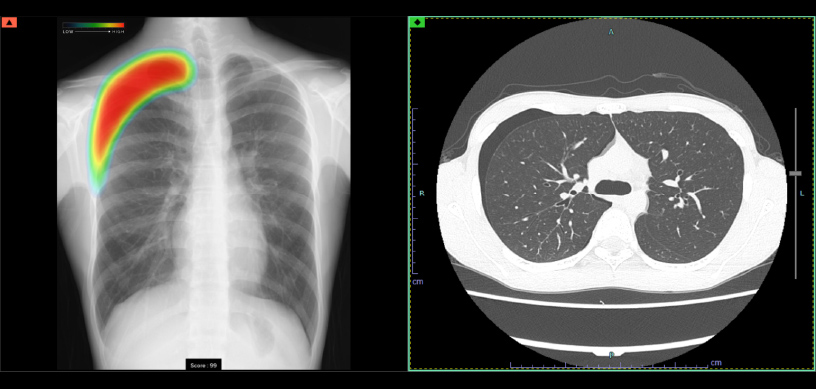
ヒートマップ表示機能
異常が疑われる領域をAIが自動的に解析し、確信度に合わせた表示を行います。確信度のスコアは0~100に分かれており、画像では色分けによるヒートマップとして表示されます。

スコア表示
0~100に分けられた確信度スコアの最大値が数値として表示されます。

