部門紹介
ご挨拶
2016年6月に本院が新病院に移転したのを契機に、呼吸器外科を新しく開設いたしました。従来、呼吸器外科といわれる診療科は、その専門性の高さや特殊な医療機器が必要なことから規模の大きな大学病院や総合病院で開設されていることがほとんどです。一方、当院におきましては病院の規模自体はそれほど大きくはありませんが、最先端の医療機器の配備はもちろん、スタッフにつきましても呼吸器外科専門医の有資格医師2名(常勤医師2名)による診療体制を取っていることから、他の専門機関と同等以上の専門性と安全性の高い診療を皆様に提供できるものと思っております。また、当院は所沢駅の近隣に立地しており、非常にアクセスが良好であることから、長期にわたる通院となった場合、特に呼吸器疾患の患者さんにつきましては非常に有利となることと考えます。さらに救急診療にも非常に力を入れており、ご通院以外の疾患を患われた際にもお役に立たせていただけることと存じます。
診療疾患
① 肺癌
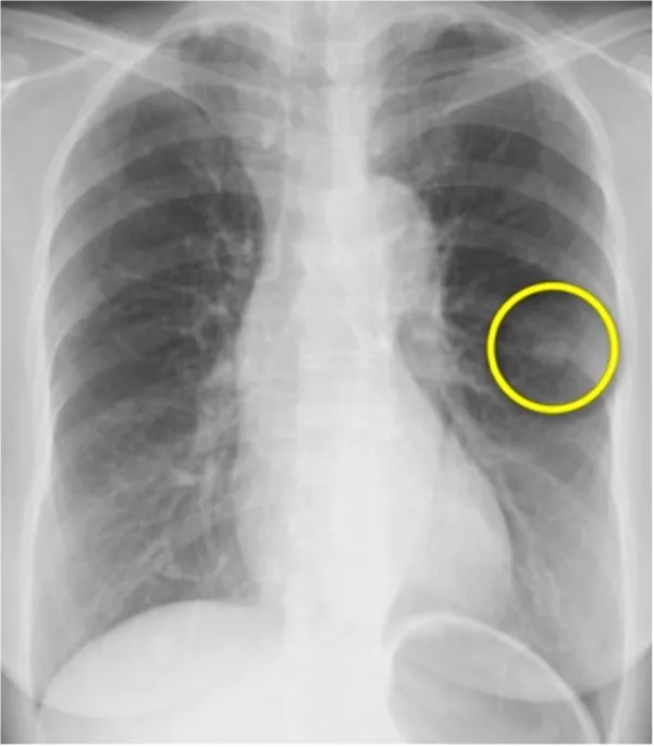
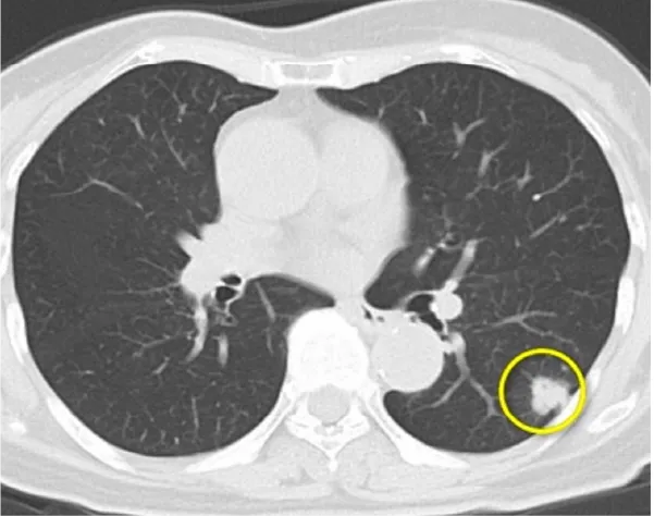
我が国において、「がん」によって亡くなった人は1981年に脳卒中を抜いて第1位となり、現在、およそ3人に1人は「がん」によって亡くなっています。その中でも肺癌の増加は特に著しく、男性は1993年に胃癌を抜いて第1位に、女性においても大腸癌とともに増加して胃癌を抜いて第2位に、全体においても1998年に胃癌を抜いて第1位となりました。
肺癌の治療については、迅速かつ的確な診断を基に、その肺癌の種類(組織型)や進行度によって適切な治療が必要となります。肺癌の治療には「手術」、「抗癌剤治療」、「放射線療法」と大きく分けて3種類あり、肺癌の種類や進行度によっては、これらの治療を組み合わせた「集学的治療」が必要となります。
手術につきましては、近年小型肺癌で発見される症例が増えてきたころから、肺癌に対しても胸腔鏡下手術を導入する施設が増えてきました。本院に着任する前に勤務していた群馬県立がんセンターにて、小型肺癌に対して積極的に完全鏡視下手術(傷が3から4か所の穴だけで手術をする方法)を施行しておりましたので、当施設においても胸腔鏡下手術を積極的に導入し、より低侵襲で、安全かつ根治性の高い手術を提供したいと思います。また、慢性閉塞性肺疾患(COPD)などよって低肺機能の患者さんや、高齢者の患者さんなど、手術によって術後の生活に大きく制限が受ける可能性がある患者さんに対しても、胸腔鏡下手術はかなり有益となりますが、それ以外にも必要に応じて、積極的縮小手術としてリンパ節郭清の省略や区域切除術(肺の温存手術)も考慮して行っていきます。
当院ではリハビリも充実していることから、術前と術後は呼吸器リハビリを行うことで、退院後の生活がよりスムーズに始められるようサポートいたします。入院期間についてはおよそ術後4日から7日間で、手術翌日より食事の摂取と歩行が可能となります。
② 炎症性疾患(膿胸、肺膿瘍、その他感染症)
肺炎が原因で膿胸や肺膿瘍をきたすことがあり、場合によっては手術が必要となる場合もあります。基本的には抗生物質による治療や、胸腔ドレナージ術などが第1選択となります。
③ 気胸
肺に穴があいて肺がしぼんでしまう病気です。根治的治療としては手術が必要となります。当院では、2から3つの穴をあけて行う胸腔鏡下手術を行います。気胸の手術の場合に注意する点としましては、根治手術をしたにもかかわらずある一定の率で再発してしまうことにあります。当施設におきましては、より再発が生じないように、胸腔内をくまなく観察し、再発しそうな部位に対しての予防処置(シートによるカバーリング、結紮、熱凝固など)を行ってきます。入院期間は通常、術後3日から5日間となります。
④ 転移性肺腫瘍
大腸癌の肺転移が最も多く手術の適応となります。転移性肺腫瘍の手術もほとんどが胸腔鏡下手術の適応となります。また、多発性に肺腫瘍を認めることや、異時性に多発してくることがあることから、少しでも肺を温存するために積極的に区域切除を行います。入院期間は手術の大きさにもよりますが、5日から7日間くらいです。
⑤ 縦隔腫瘍
大血管などへの浸潤のない小型の腫瘍に対しては胸腔鏡下手術の適応となります。前縦隔にできた胸腺腫などにつきましては、胸骨正中切開による手術の適応となる場合がございます。入院期間は術後5日から7日間くらいです。
⑥ その他
間質性肺炎や胸腔内のリンパ節の腫大に対して、確定診断をつけるための手術となります。ほとんどの場合、胸腔鏡下にて組織(肺、リンパ節)を生検します。入院期間は3日から5日間位となります。
スタッフ紹介
常勤医師
呼吸器外科部長
喜多 秀文(きた ひでふみ )

ご挨拶・モットー
肺癌、気胸、縦隔腫瘍、感染性肺疾患といった呼吸器外科領域の疾患に対して、各種高度専門施設で修練を積んできており、他の専門施設と比較しても遜色のない診療をご提供できるものと考えております。
また手術のアプローチについては、創部が小さく痛みの少ない「胸腔鏡下手術」を長年積極的に取り組んできており、肺癌や気胸、縦隔腫瘍に対して安全性と根治性を確保した胸腔鏡下手術をご提供できるものと考えております。ご気軽に御相談ください。
略歴
- 平成 8年5月 杏林大学旧第2外科(現呼吸器・甲状腺外科)入局
- 平成14年4月 杏林大学呼吸器・甲状腺外科 助手
- 平成16年4月 長岡中央総合病院呼吸器外科 医長
- 平成18年4月 複十字病院呼吸器外科 医長
- 平成25年7月 群馬県立がんセンター呼吸器外科 部長
出身大学
杏林大学卒業(平成 8年卒)
専門領域
- 肺癌
- 気胸
- 縦隔腫瘍
- 感染性肺疾患
認定医・専門医等
- 医学博士
- 日本外科学会指導医・専門医
- 日本呼吸器外科学会評議員・専門医
- 日本呼吸器外科学会胸腔鏡安全技術認定医
- 日本呼吸器内視鏡学会気管支鏡指導医・専門医
- 日本呼吸器内視鏡学会評議員
- 日本消化器内視鏡学会専門医
- 日本癌治療認定医機構認定医
- がん診療緩和ケア研修終了者
所属学会
- 日本外科学会
- 日本呼吸器外科学会
- 日本呼吸器内視鏡学会
- 日本肺癌学会
- 日本癌治療学会
- 日本気胸嚢胞学会
- 日本結核学会
- 日本消化器内視鏡学会
- 日本臨床外科学会
研究テーマ
学位論文:Influence of postoperative serum Interleukin-6 early recurrence after curative pulmonary resections of lung cancer
業績
① 喜多秀文, 他. Ⅰ期非小細胞肺癌例における術後再発の危険因子. 胸部外科, 60巻-10号: 883~887, 2007.
② 喜多秀文. 呼吸器外科Knack&Pitfalls 専門医のための呼吸器外科の要点と盲点【Ⅱ】・肺真菌症, 文光堂: 96~98, 2010.
③ Hidefumi Kita, et al. Dose Postoperative Serum Interleukin-6 Influence Early Recurrence after Curative Pulumonary Resection of Lung Cancer? Ann Thrac Cariovasc Surg, Vol.17-No.5: 454~460, 2011.
④ 喜多秀文, 他. 月経時に再手術が効を奏した月経随伴性気胸. 胸部外科, 66巻-12号: 1071~1073, 2013.
⑤ 喜多秀文, 他. リンパ節転移をきたした肺硬化性血管腫. 胸部外科, 66巻-13号: 1141~1144, 2013.
⑥ 喜多秀文, 他. 肺癌術後の口腔内転移に対し気管支鏡下エタノール注入療法が有効であった1例. 気管支学, 36巻-2号: 188~192, 2014.
⑦ 喜多秀文, 他. 長期生存が得られた肺癌術後小腸転移の1切除例. 肺癌 54 (6): 784-789, 2014.
恩田 貴人(おんだ たかと)

ご挨拶・モットー
順天堂大学にて外科研修終了後、約10年間同院呼吸器外科にて呼吸器診療の研鑽を重ねて参りました。平成28年より当院にて呼吸器外科専門医として肺癌、気胸、縦隔腫瘍などの呼吸器外科疾患を担当しております。患者様に寄り添い、安全で良質な外科医療をご提供できるよう努めております。お気軽にご相談ください。
略歴
- 平成15年3月 金沢医科大学卒業
- 平成15年4月 順天堂大学外科学講座入局
- 平成17年4月 順天堂大学呼吸器外科講座入局
- 平成18年4月 国立がん研究センター中央病院 内視鏡・画像診断部
- 平成19年4月 結核予防会複十字病院 医員
- 平成22年4月 順天堂大学練馬病院 助手
専門領域
- 一般外科
- 呼吸器外科
- 救急科
認定医・専門医等
- 日本外科学会認定専門医・指導医
- 日本呼吸器外科学会認定専門医
- 日本がん治療認定医機構認定がん治療認定医・責任指導医
- 肺がんCT検診認定機構認定肺がんCT検診認定医
- 日本がん治療認定医機構認定がん診療緩和ケア研修終了者
- 日本医師会認定産業医
- 日本救急医学会ICLSコースディレクター
所属学会
- 日本外科学会
- 日本呼吸器外科学会
- 日本肺癌学会
- 日本胸部外科学会
- 日本救急医学会
非常勤医師
| 氏名 | 専門領域 |
|---|---|
| 吉田 勤 | |
| 松脇 りえ |
