部門紹介
当院放射線科では365日24時間検査が出来るよう診療放射線技師が常駐しており、日中はもちろん、夜間の緊急検査にも対応しています。
一般撮影・CT検査・MRI検査・血管撮影検査・透視検査・術中透視に対応しております。患者様になるべく負担にならないよう、迅速かつ丁寧に検査するよう心がけております。
当科で可能な主要検査
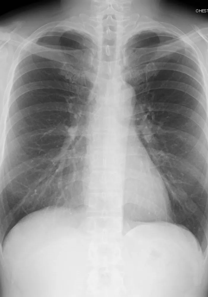
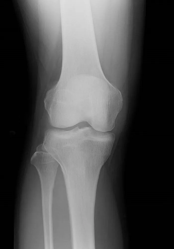
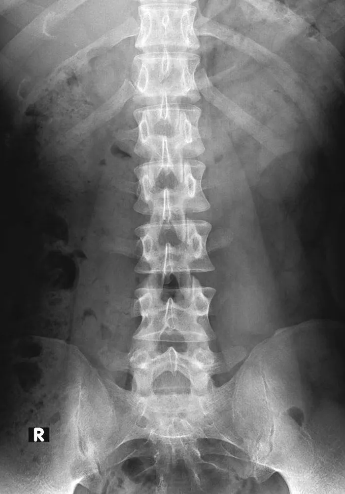
一般撮影
一般撮影は診断目的とする部分にX線を照射して撮影を行う検査です。X線は体内を通過する際に骨や筋肉、内臓などの組織により吸収される量が変化するので、透過したX線量の差を画像化したものがレントゲン写真となります。
導入装置
一般撮影装置
当院の一般撮影室は 2室 あり、いずれも フラットパネルディテクタ(FPD)対応 の最新機器を導入しています。FPDを用いることで、従来よりも少ないX線量で効率的に撮影でき、より高画質な画像を得ることが可能です。これにより、患者様の被ばく線量をできる限り低減しつつ、迅速で正確な診断に役立てています。


回診用ポータブルX線装置
当院では、病棟での撮影に使用するほか、手術室専用のポータブルX線撮影装置 も導入しています。すべて フラットパネルディテクタ(FPD)対応 で撮影を行っており、撮影後すぐに画像を確認できる体制を整えています。これにより、患者様を移動させる負担を減らしつつ、手術中や病棟で必要な場面でも迅速かつ正確に画像診断を行うことが可能です。








一般撮影検査を受ける方へ
・撮影する部位に装飾品やボタン・金具・湿布・ブラジャー等があると画像に映り込み、診断の妨げになることがあります。撮影前に妨げになるものは体から外してもらい検査着などに着替えていただく場合があります。
・妊娠している又は妊娠の可能性がある方は撮影前に担当技師にお申し出ください。
・そのほかにご不明な点がございましたら技師に遠慮なくお申し付けください。
X線テレビ装置
X線テレビ装置は、体の内部を静止画だけでなく動きのある映像(動画)としてリアルタイムに観察できる装置です。胃の検査ではバリウムを飲んで、また血管や臓器の検査では造影剤(X線に写る薬剤)を注入して体の中を映し出し、映像を見ながら必要な部分を撮影することができます。さらに、この装置で映像を確認しながら内視鏡などを用いた検査を行うこともあります。
導入装置
X線テレビシステム FLEXAVISION F3
フラットパネルディテクタ(FPD)を搭載しており、透視検査と撮影の両方に対応しています。広い視野での撮影が可能で、FPDを縦向き・横向きに切り替えられるため、消化管・胸部・整形外科領域・泌尿器科領域など、さまざまな検査に1台で対応できるのが特徴です。また、被ばく線量をできる限り抑えるための各種機能が充実しており、患者さんに配慮した安全性の高い検査を実現します。


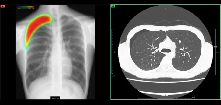
CT(コンピュータ断層装置)
CTは Computed Tomography(コンピュータ断層撮影) の略で、X線を使って体の断面を撮影する装置です。体の内部構造を詳しく画像化できるため、さまざまな病気の発見に役立ちます。近年の技術進歩により、0.5mm間隔で断層画像を撮影できるため、ごく小さな病変も見つけることが可能になりました。また、得られた断面画像を重ね合わせることで、立体的な3D画像を作成することもできます。さらに、必要に応じて 造影剤 を使用すると、腫瘍などの病変部位がより明瞭に写り、周囲の血管の走行や栄養血管の状態を詳しく把握することができます。ただし、造影剤には副作用の可能性があり、また腎機能が著しく低下している場合には使用できないことがあります。造影剤を使うかどうかは、検査内容に応じて医師が判断します。
導入装置

GEヘルスケア・ジャパン株式会社 Revolution Maxima
当院ではGE社製の64列マルチスライスCTを導入しています。被ばく低減可能な逐次近似画像構成法ASiR-VソフトウェアやAI技術を駆使した次世代ワークフローを搭載した最新のCTで検査が行えます。
CT検査を受けられる方へ
- 撮影する部位に装飾品・ボタン・金具・湿布・ブラジャーなどがあると、画像に映り込み診断の妨げとなることがあります。検査前に外していただき、必要に応じて検査着に着替えていただきます。
- 妊娠中または妊娠の可能性がある方は、必ず検査前に担当技師へお知らせください。
- 検査の内容によっては食事制限が必要な場合があります。事前にご案内いたしますのでご確認ください。
CT造影検査を受けられる方へ
造影剤を使用する検査では、以下の項目に当てはまる方は投与に注意が必要です。
該当する場合は、必ず検査前にお知らせください。
- ヨードまたはヨード造影剤に過敏症の既往がある方
- 甲状腺疾患がある方
- 気管支喘息がある方
- 重い心臓・肝臓・腎臓の障害がある方
- マクログロブリン血症、多発性骨髄腫、テタニー、褐色細胞腫のある方
MRI(核磁気共鳴画像診断装置)
MRIは Magnetic Resonance Imaging(磁気共鳴画像) の略で、放射線を使用せず、強力な磁石と電磁波を使って体の断面画像を撮影する装置です。MRI検査では様々な病巣を発見することができますが、特に脳や、脊椎、四肢、腹腔内臓器(肝・胆・膵)また子宮、卵巣、前立腺等の骨盤腔に生じた病変に関して優れた描出能が知られています。また、色々な病気の早期発見、診断にMRI検査は有効とされています。また、血管を抽出するMRA(MR-Angiography)や胆管・膵管を抽出するMRCP(MR-Cholangio Pancreatography)といった撮像も可能です。検査内容によってMRI用造影剤を使用する場合があります。造影剤使用の有無は必要に応じて医師が判断いたします。
導入装置
当院では3.0テスラMRI1台、1.5テスラMRI1台の2台体制で稼働しております。
3.0テスラ

PHILIPS社製 3.0TMRI(本館一階)
1.5テスラ

CANON社製 1.5TMRI(南館一階)
MRI検査をお受けになる方へ
MRI装置は強力な磁石を使用しており、体内に医療機器や金属がある場合、機器が故障したり、体内で移動して熱傷を起こす可能性があります。
以下に該当する方は、必ず検査前にお知らせください。
1.検査を受けることが出来ない方
以下の体内医療機器をお持ちの方は、MRI検査を受けられません。
- 心臓ペースメーカー
- 埋め込み型除細動器(ICD)
- 人工内耳、人工耳小骨
- 神経刺激装置、骨成長刺激装置
- 可動型義眼
- インスリン注入ポンプ
2.検査が受けられない可能性のある方
以下に該当する方は、検査が制限される場合があります。必ず申告してください。
- 脳動脈クリップ、手術クリップ、内視鏡クリップ
- 人工関節、骨固定具、インプラント
- ステント、金属コイル、心臓人工弁
- リザーバー、シャント、IVCフィルター
- クランプ、マグネット義歯、歯列矯正、その他体内金属
- 金属加工従事者の方
- 閉所恐怖症の方
- 妊娠中または妊娠の可能性のある方
3.検査当日の注意事項
- 検査内容によっては、食事や水分の摂取制限がある場合があります。
- 必要に応じて検査着に着替えていただく場合があります。
- 金属を含む下着(ブラジャー、キャミソール、スリップ、ボディースーツなど)は外していただく場合があります。
- コンタクトレンズの一部(縁取りや濃い着色のあるもの)は金属を含んでいる可能性があります。検査前に取り外しできるご用意をお願いいたします。
4.検査室に持ち込めない物(ロッカーに保管していただきます)
- ヘアピンなどの金属製髪留め
- 眼鏡、入れ歯、補聴器
- ネックレス、腕時計、ブレスレット、イヤリング、ピアス、指輪などの装飾品
- エレキバン、湿布、カイロ
- ニュープロパッチ、ニコチネルTTS、ノルスバンテープ、ニトロダームTTSなどの貼り薬
- 財布、キャッシュカード、診察券などの貴重品
血管撮影
血管撮影(Angiography)とは、手首や太ももの付け根(鼠径部)からカテーテルと呼ばれる細い管を動脈や静脈に挿入して、血管内を目的部位までカテーテルを進めて、造影剤を注入しながら連続でX線撮影をする検査です。血管内の形状や血流動態を調べたり、IVR(Interventional Radiography)と呼ばれる血管内治療を行う事が出来ます。血管撮影で行われる治療の場合は動脈からの出血を止める止血術、心筋梗塞など閉塞をきたしている血管を広げる血管拡張術や脳梗塞に対する血栓回収術など早期に治療を行わなければ生命にかかわることもあるため、非常に重要な検査や治療が行われます。
導入装置
当院では2つのFPD搭載したバイプレーン血管撮影装置を導入しております。2方向から血管を観察することで複雑な血管の走行を瞬時に把握でき、撮影時間の短縮や造影剤量の低減が可能となり患者様の負担を軽減できます。20inchの大型パネルで全身に対応きる装置となっております。回転撮影により3次元の血管像を描出する機能(3D-RA)やコーンビームCT画像を再構成する機能(XperCT)など、特に脳血管内治療を強力にサポートする豊富なアプリケーションが導入されています。専門的な治療を実現できる血管撮影装置です。

PHILIPS社製 Allura Xper FD20/10
検査実績
2024年度検査実績
| 検査項目 | 実施検査数(件) |
|---|---|
| 一般撮影 | 31,536 |
| 健康診断胸部撮影(健診クリニック) | 19,110 |
| CT検査 | 14,680 |
| MRI検査 | 16,933 |
| マンモグラフィー(健診クリニック) | 3,269 |
| 胃透視(健診クリニック) | 4,545 |
| 胃・大腸等 | 62 |
| アンギオグラフィー | 154 |
スタッフ紹介
- 非常勤放射線科医師 2名
- 診療放射線技師 15名
