整形外科
基本情報
整形外科では、筋・腱(靭帯を含む)・神経・骨折(四肢骨・脊椎)などの治療を行っており、リウマチ治療にも対応しています。人口の高齢化に伴い、患者数は年々増加しています。当院は急性期医療を担う病院であるため、手術症例は骨折治療を中心に行っています。一方、外来では加齢に伴う変性疾患(腰痛や肩・膝の痛みなど)の患者さんが多く来院されます。手術後のリハビリは、当院関連の所沢リハビリテーション病院で回復期リハビリを行うほか、近隣の回復期リハビリ病院でも支援を受けています。
実績
2023年手術の要約
2023_surgary_summary2022年手術の要約
2022_surgary_summary2021年手術の要約
2021_surgary_summary手術件数(過去10年間)
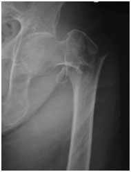
past-decade_surgary_summary大腿骨頚部骨折について
大腿骨頚部骨折 は、全国で年間17万人以上発生しており、高齢化に伴い今後10~20年で年間25万人以上に増加すると予測されています。当院でも手術件数の多い疾患の一つです。大腿骨頚部骨折では、痛みにより歩行が困難になることが多く、原則として手術治療を行います。手術の目的は、骨折部を固定することで痛みを軽減し、早期離床・早期リハビリを可能にすることです。
以下に、当院で行った手術例をご紹介します。
A.転子部骨折:ガンマネイル固定


手術後は、翌日からリハビリを開始 します。手術2日目には車いすでの移動を始めます。骨折の不安定性にもよりますが、早期に荷重をかけながら歩行訓練を行います。
B. 頚部内側骨折
骨頭への血流が得られにくいため、原則として人工骨頭挿入術 を行います。これにより、早期に荷重をかけることが可能となり、手術翌日からリハビリを開始します。手術2日目には車いすでの移動や歩行訓練も行い、早期の日常生活復帰を目指します。
合併症としては、人工骨頭の脱臼のリスクがあります。そのため、股関節の深屈曲をしないよう、リハビリや日常生活の指導を行っています。


医師紹介
-
常勤医師
-
-
ご挨拶昭和57年、防衛医大卒、大学で研修後、自衛隊病院に勤務し、平成7年から21年まで15年間、志木市民病院整形外科に勤務、平成22年4月から当院に勤務しています。
得意分野は主に上肢の骨折や腱縫合ですが、当院の特性上骨折外傷中心の治療を行っており、昨年度の骨折手術症例は211件でした。中でも高齢者に多い大腿骨骨折は、75例と最も多くを占めています。
患者様の痛みを早く取って差し上げる為に、原則受傷後2・3日以内に手術を出来るよう努めています。 -
認定医・専門医等●日本整形外科学会認定専門医
●日本リウマチ学会認定リウマチ専門医
-
-
-
ご挨拶膝関節外科、スポーツ整形外科分野を専門としています。とくに関節鏡視下手術を含む半月板治療については高い専門性と幅広い治療の選択肢をご提供させていただいています。
-
専門領域●膝関節外科
●関節鏡学
●スポーツ整形外科
●リハビリテーション医学 -
認定医・専門医等●日本整形外科学会認定専門医
●日本整形外科学会認定運動器リハビリテーション医
●日本膝関節学会 関節鏡技術認定医
●日本膝関節鏡学会 評議員、教育研修委員
●日本リハビリテーション医学会認定リハビリテーション科
専門医
●日本リハビリテーション医学会認定臨床医
●医学博士
●Fellow of AANA(北米関節鏡学会の特別会員) -
主な経歴●杏林大学医学部(平成3年卒)
-
業績●Kamimura T., Kimura M.(2011) Repair of horizontal meniscal cleavage tears with exogenous fibrin clots. Knee Surg Sports Traumatol Arthrosc 19:1154-1157
●Kamimura T., Kimura M.(2014) Meniscal repair of degenerative horizontal cleavage tears using fibrin clots: Clinical and arthroscopic outcomes in 10 cases. Orthop J Sports Med 2(11) 235967114555678
●Kamimura T., Kimura M.(2018) Repair of chronic large meniscal defect with implantation of autogenous meniscal fragments using a tubular-shaped fibrin clot. Arthrosc Tech 7(2) e257-263
●Kamimura T. Arthroscopic Intrameniscal Decompression for the Treatment of Lateral Meniscal Cysts. Arthrosc Tech (2023)12(2): e147-e152.
上村医師の論文が北米関節鏡学会公式ジャーナルArthroscopyの表紙を飾りました。
-
-
-
-
非常勤医師
-
膝後藤 治彦ごとう はるひこ
-
膝髙島 瑶子たかしま ようこ
-
膝髙栁 正俊たかやなぎ まさとし
-
一般德永 建路とくなが けんじ
-
一般小泉 憲之こいずみ のりゆき
-
一般鈴木 孝典すずき たかのり
-
脊椎増岡 一典ますおか かずのり
-
脊椎中川 敬博なかがわ たかひろ
-
脊椎本強矢 隆生もとすねや たかお
-
脊椎高野 弘充たかの ひろみつ
-
股吉原 愛雄よしはら やすお
-
上肢米原 周吾よねはら しゅうご
-
スポーツ朱田 尚徳あかだ たかのり
-
肩井上 純一いのうえ じゅんいち
-
手諸橋 彰もろはし あきら
-